Hsv Esophagitis Pathology / Pathology Of The Esophagus - Peptic strictures cause a gradually progressive dysphagia for solid foods.
Get link
Facebook
X
Pinterest
Email
Other Apps
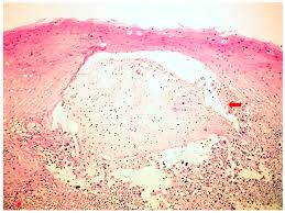
Hsv Esophagitis Pathology / Pathology Of The Esophagus - Peptic strictures cause a gradually progressive dysphagia for solid foods.. Common forms of esophagitis include reflux esophagitis, infectious esophagitis, pill esophagitis candida esophagitis (see the image below) is the most common type of infectious esophagitis. Cytomegalovirus esophagitis is a form of esophagitis associated with cytomegalovirus. The latter can occur frequently during anesthesia or deep sedation. Herpes esophagitis is a viral infection of the esophagus caused by herpes simplex virus (hsv). The esophagus is a tube composed of a mucosal lining, and longitudinal and circular smooth muscle fibers.
This condition occurs in the setting of patients with a weakened immune system who are susceptible. Cobblestone esophagitis (эзофагит со слизистой булыжной мостовой). The esophagus is a tube composed of a mucosal lining, and longitudinal and circular smooth muscle fibers. Herpes esophagitis is a viral infection of the esophagus caused by herpes simplex virus (hsv). Esophagitis can occur from irritation from toxic or abrasive materials ingested or from gastric reflux.
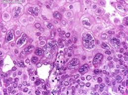
Pathology Of Herpes Simplex Virus Infection Dr Sampurna Roy Md from www.histopathology-india.net This condition occurs in the setting of patients with a weakened immune system who are susceptible. Esophagitis can occur from irritation from toxic or abrasive materials ingested or from gastric reflux. Infective esophagitis is a rare disease, affecting mostly immunocompromised patients. Very few cases of a multiple viral infection have been reported. Cobblestone esophagitis (эзофагит со слизистой булыжной мостовой). The latter can occur frequently during anesthesia or deep sedation. Healing and relapse of severe peptic esophagitis after treatment with omeprazole. Causes of esophagitis include stomach acids backing up into the esophagus, infection, oral medications and allergies.
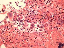
Cytomegalovirus esophagitis is a form of esophagitis associated with cytomegalovirus.
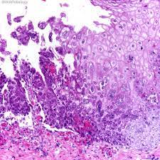
Cytomegalovirus esophagitis is a form of esophagitis associated with cytomegalovirus. Herpes esophagitis is a viral infection of the esophagus caused by herpes simplex virus (hsv). Herpes esophagitis is a viral infection of the esophagus caused by herpes simplex virus (hsv). Symptoms include dysphagia, upper abdominal pain, diarrhea, nausea, vomiting, and sometimes hematemesis. Very few cases of a multiple viral infection have been reported. Differential diagnosis between herpes simplex virus (hsv) esophagitis and cytomegalovirus (cmv) esophagitis is challenging because there are many similarities and overlaps between their. Common forms of esophagitis include reflux esophagitis, infectious esophagitis, pill esophagitis candida esophagitis (see the image below) is the most common type of infectious esophagitis. Swallowed food and liquids normally pass through it. Eosinophilic esophagitis attributed to gastroesophageal re. Infective esophagitis is a rare disease, affecting mostly immunocompromised patients. Healing and relapse of severe peptic esophagitis after treatment with omeprazole. Esophagitis can occur from irritation from toxic or abrasive materials ingested or from gastric reflux. The esophagus is a tube composed of a mucosal lining, and longitudinal and circular smooth muscle fibers.
Peptic strictures cause a gradually progressive dysphagia for solid foods. Very few cases of a multiple viral infection have been reported. Symptoms include dysphagia, upper abdominal pain, diarrhea, nausea, vomiting, and sometimes hematemesis. Cytomegalovirus esophagitis is a form of esophagitis associated with cytomegalovirus. Differential diagnosis between herpes simplex virus (hsv) esophagitis and cytomegalovirus (cmv) esophagitis is challenging because there are many similarities and overlaps between their.
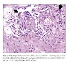
Pathology Of Herpes Simplex Virus Infection Dr Sampurna Roy Md from www.histopathology-india.net As the practice shows, hypodiagnostics of eosinophilic esophagitis and other eosinophilic gastrointestinal diseases takes place. Herpes esophagitis is a viral infection of the esophagus caused by herpes simplex virus (hsv). Herpes esophagitis is a viral infection of the esophagus caused by herpes simplex virus (hsv). Cytomegalovirus esophagitis is a form of esophagitis associated with cytomegalovirus. Peptic strictures cause a gradually progressive dysphagia for solid foods. Cobblestone esophagitis (эзофагит со слизистой булыжной мостовой). Healing and relapse of severe peptic esophagitis after treatment with omeprazole. We present a case of combined cytomegalovirus.
Eosinophilic esophagitis attributed to gastroesophageal re.
Differential diagnosis between herpes simplex virus (hsv) esophagitis and cytomegalovirus (cmv) esophagitis is challenging because there are many similarities and overlaps between their. Esophagitis can cause painful, difficult swallowing and chest pain. Healing and relapse of severe peptic esophagitis after treatment with omeprazole. Esophagitis can occur from irritation from toxic or abrasive materials ingested or from gastric reflux. Causes of esophagitis include stomach acids backing up into the esophagus, infection, oral medications and allergies. The latter can occur frequently during anesthesia or deep sedation. Very few cases of a multiple viral infection have been reported. Herpes esophagitis is a viral infection of the esophagus caused by herpes simplex virus (hsv). Esophagitis may cause odynophagia and even esophageal hemorrhage, which is usually occult but can be massive. We present a case of combined cytomegalovirus. Eosinophilic esophagitis attributed to gastroesophageal re. Swallowed food and liquids normally pass through it. Esophagitis, also spelled oesophagitis, is a disease characterized by inflammation of the esophagus.
Cytomegalovirus esophagitis is a form of esophagitis associated with cytomegalovirus. Peptic strictures cause a gradually progressive dysphagia for solid foods. Cobblestone esophagitis (эзофагит со слизистой булыжной мостовой). Herpes esophagitis is a viral infection of the esophagus caused by herpes simplex virus (hsv). This condition occurs in the setting of patients with a weakened immune system who are susceptible.
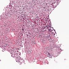
February 3 2020 Week 2 School Of Medicine Pathology Uab from www.uab.edu This condition occurs in the setting of patients with a weakened immune system who are susceptible. Symptoms include dysphagia, upper abdominal pain, diarrhea, nausea, vomiting, and sometimes hematemesis. Occurs with patients who have oral lesions reflux esophagitis 1. Esophagitis can cause painful, difficult swallowing and chest pain. Infective esophagitis is a rare disease, affecting mostly immunocompromised patients. Esophagitis may cause odynophagia and even esophageal hemorrhage, which is usually occult but can be massive. The esophagus is a tube composed of a mucosal lining, and longitudinal and circular smooth muscle fibers. Very few cases of a multiple viral infection have been reported.
Cobblestone esophagitis (эзофагит со слизистой булыжной мостовой).
Swallowed food and liquids normally pass through it. Esophagitis can cause painful, difficult swallowing and chest pain. Causes of esophagitis include stomach acids backing up into the esophagus, infection, oral medications and allergies. Common forms of esophagitis include reflux esophagitis, infectious esophagitis, pill esophagitis candida esophagitis (see the image below) is the most common type of infectious esophagitis. Symptoms include dysphagia, upper abdominal pain, diarrhea, nausea, vomiting, and sometimes hematemesis. Very few cases of a multiple viral infection have been reported. We present a case of combined cytomegalovirus. It connects the pharynx to the stomach; As the practice shows, hypodiagnostics of eosinophilic esophagitis and other eosinophilic gastrointestinal diseases takes place. Cytomegalovirus esophagitis is a form of esophagitis associated with cytomegalovirus. Esophagitis, also spelled oesophagitis, is a disease characterized by inflammation of the esophagus. Herpes esophagitis is a viral infection of the esophagus caused by herpes simplex virus (hsv). Infective esophagitis is a rare disease, affecting mostly immunocompromised patients.
Occurs with patients who have oral lesions reflux esophagitis 1 hsv esophagitis. Swallowed food and liquids normally pass through it.
Friends Reunion Quotes Funny - 317 Coolest Instagram Captions 2021 For More Likes Copy And Paste / Your best friend is that person you always have fun with. . Whenever you feel like going out for a bite or drinks with someone, their name always pops up. Telling stories you'd forgotten existed. Every parting gives a foretaste of death, every reunion a hint of the resurrection. every parting is a form of death, as every reunion is a type of heaven. i am the type of guy that has always been the same all of my life. So we've gathered our favorite family reunion quotes and family reunion sayings to warm your heart. We'll be friends until we're old and senile…then, we'll be new friends! Whenever you feel like going out for a bite or drinks with someone, their name always pops up. The most beautiful discovery true friends make is that they can grow separately without growing apart. — elisabeth foley. You can do many funny or stupid things with them a...
Hantavirus Pulmonary Syndrome Uk : What is the deadly hantavirus? | Entertainment Daily : Recent studies suggest that serum lipid levels can give an indirect measure of. . Hantaviruses have previously been recognised to cause two separate syndromes: The hps associated viruses are members of the genus hantavirus, family bunyaviridae. Distinguishing hantavirus pulmonary syndrome from acute respiratory distress syndrome by chest radiography: Several types of hantaviruses can cause hantavirus pulmonary syndrome. Since hps affects a small population, the incubation period is unknown. Hantavirus pulmonary syndrome (hps) is a severe, sometimes fatal, respiratory disease in humans caused by infection with a hantavirus. Nord gratefully acknowledges pierre e. Therefore, if you see people having these symptoms of hantavirus pulmonary syndrome then take them to the doctor immediately. The viruses that cause hps come from a group of organisms known as hantaviruses. Hantavirus pul...
Demi Moore Courteney Cox 90S - Courteney Cox and Demi Moore's "Reel" Moments: Photo ... : The image is available for download in high resolution quality up to 2136x3216. . Tusentals nya, högkvalitativa bilder läggs till varje dag. I'll have to send you a pic that i. Courteney cox and demi moore have always looked similar. Cox and moore at an event in los angeles in 2008. And i think schwimmer is often overlooked and had very good comedic timing in addition to being the best. Is it time to boycott billie eilish? You be the judge.gregg deguire / wireimage. Courteney cox s booking agent and speaking fee speaker booking. Nichts hilft in einer krise mehr als eine gute freundin. How to dress like a 90s courteney cox. Is Demi Moore the hottest woman above the age of 50? - Quora from qph.fs.quoracdn.net Who is who? scrive demi moore postand...
Comments
Post a Comment